Opening Hours : Monday - Thursday: 7:30 a.m. - 5 p.m.

Appointment

Book Now

Call Now

650 964 6400

Location

1174 Castro St. Suite 120

Mountain View, CA 94040


We’ve created

so many smiles

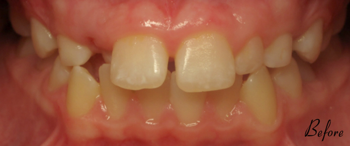
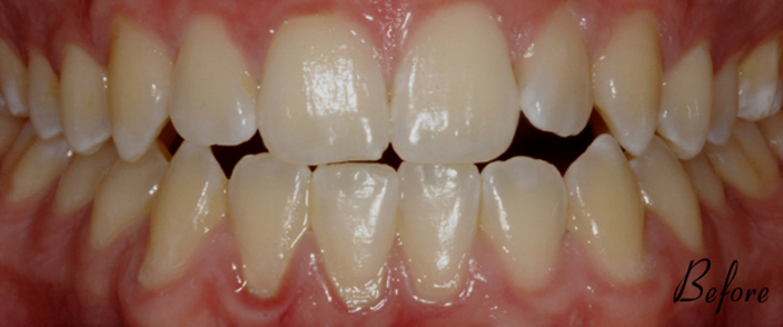
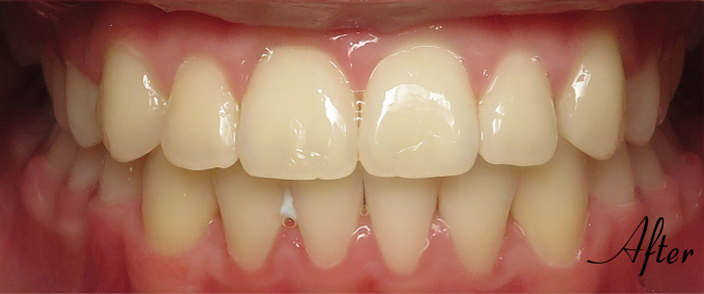
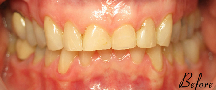
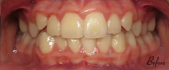
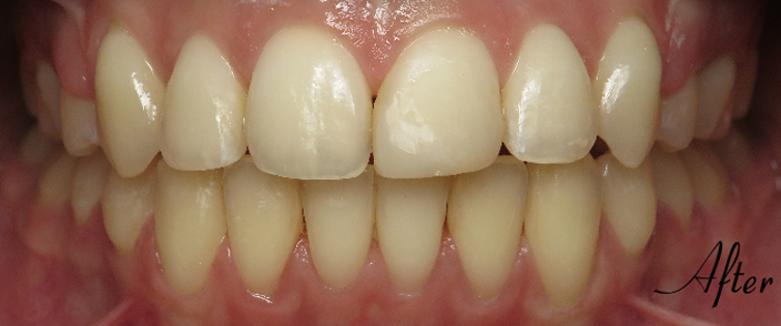
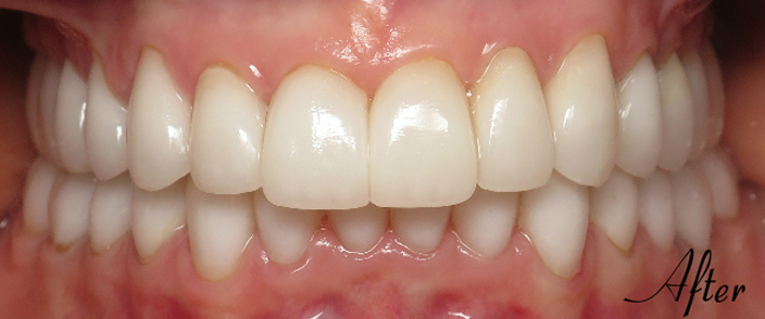
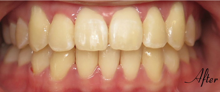
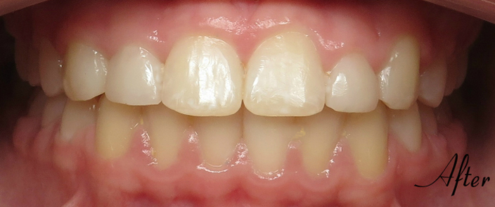
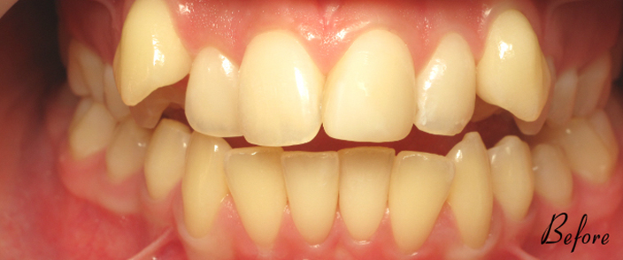
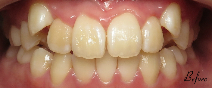
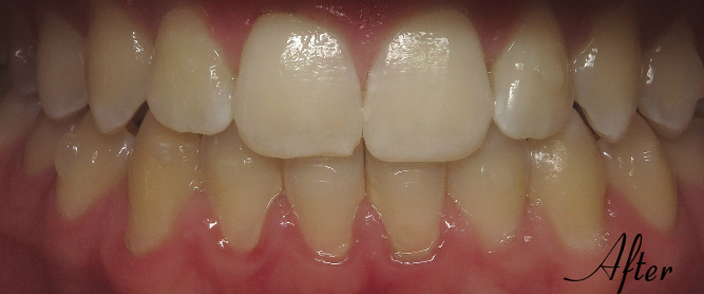
We’ve created so many beautiful, healthy smiles over the years!

Take a look for yourself and see what our patients' smiles have to say.

image image
 
image image
 
image image
 
image image
 
image image
 
image image